ACRC是美国加州注册合法公司,纽约卫生部医疗执照号GSP220901,所从事所有商业活动均遵从美国联邦及加州,并遵从美国FDA,ASRM监管条例,及纽约卫生部管理规定。该内容属ACRC原创专属所有,任何个人,法人,商家,媒体未经授权,不得转载或用于其他商业目的。


还记得2011年的9级地震和海啸导致福岛第一核电站的多个反应堆发生熔毁。为了避免进一步的灾难,工作人员采取了紧急措施,向反应堆注入大量水进行冷却。尽管目前该电站已经停产,反应堆也已报废,但仍需持续进行冷却措施,因此核污水问题依然存在。
日本福岛第一核电站在周四(8月24日)当地时间12时3分,正式将核处理水排放入太平洋。计划耗时30年完成。中国作为福岛核事故的邻国,对于核废水排放事件的影响和担忧是可以理解的。尤其是对于那些正准备生育的准父母来说,对胎儿健康的担忧更加突出。那核废水的排放真的影响生育,造成胎儿畸形率高吗?
首先要了解的是,排放的污水并不是直接排放的,而是做了处理的,除了常规的过滤处理,去掉了其中的油污和一些放射性重金属。日本东电开发了一种名为“先进液体处理系统”,对核污水进行了深度的处理,我们可以把它想象成家庭净水器的放大版,处理后的锶-90浓度会降至处理前的十万分之一,已经低于环境的本底辐射值。但是经过处理的核污染水中仍然含有部分的氚,这种放射性元素和水中的氢原子为同位素,化学性质相同,分离的难度很大,要想除去它就必须花费很高的成本。虽然说日本政府一再表示,氚并没有那么危险,它的放射性相对较弱,而且由于它是水的一部分,可以穿越生物有机物,但是仍然可能导致基因突变,给生态环境和人体健康带来危害。专家表示污染物可能会随着洋流向东传播,跨越太平洋,并最终影响到北美海岸。
在生育方面,核废水和直接高放射性物质的辐射是不同的,并没有直接暴露的辐射影响,准父母近期可以谨慎选择食用来自特定地区以及周边的食品,面对这些担忧,我们应该采取理智的态度,不盲目采取不科学的应对措施,如抢购加碘食盐、购买碘化钾片或核辐射检测仪。作为普通消费者,无论是中国还是美国,可以关注当地的辐射检测机构的数据。




什么样的辐射会影响生育率?


日常生活中,我们接触到的有害辐射非常有限。一些人可能担心电子产品的辐射可能对生育健康产生不利影响,例如可能引起男性精子质量下降或减少等问题,甚至主张孕妇应该尽量减少接触电子产品。但实际上大多数人不会频繁遭受高剂量的辐射暴露。
在正常情况下人们主要受到一些低剂量的非电离辐射影响,例如来自电子设备和电信信号的辐射。根据目前的科学研究和国际安全标准,这些低剂量的辐射被认为是相对无害的,不会对人的生育健康产生不利影响。
哪些类型得辐射会伤害人体,对胎儿造成伤害呢?
正常的紫外线(UV)辐射,如来自太阳的自然紫外线,是不会对孕妇和胎儿产生直接的不利影响。然而孕妇还是需要避免使用一些美容设备和仪器使用高强度的紫外线辐射,如全身美白或者美黑灯。
在日常的通讯设备中,高频电磁场辐射水平很低。最常见的担忧在于高压输电线旁边是否会受到辐射,其实目前科学研究并没有明确证据表明低频电磁场会对胎儿产生不利影响,但出于安全和谨慎考虑,中国和美国都制定了规定,要求高压输电线距离居民住宅有一定的安全距离。
X射线辐射在日常生活中通常出现在医疗检查和安全检查中,比如X射线胸片、骨骼X射线和CT扫描。此外,在机场安检时也会用于行李和包裹的检查。如果是在怀孕或者备孕期间,特别需要注意与医生进行及时的沟通和告知。
高剂量的电离辐射一般会出现在癌症治疗得放射化疗中,或者核电厂不幸的核事故可能导致大量电离辐射释放到环境中。

图片来自网络

在正常情况下穿防辐射服可能不仅没有必要,还可能限制了接触自然环境的好处,如太阳光中的红外线等。要保持健康更重要的是采取适当的防晒措施和避免过度暴露于电离辐射。
如果真的要说手机或电脑的使用影响到精子的质量,其主要原因并不是辐射,而是"长期久坐"。通常睾丸的最佳工作温度约为35℃。一旦温度稍微上升至37℃,就可能会妨碍精子的正常生成。研究表明长时间久坐,例如长时间驾驶两小时,可以导致睾丸温度上升约2℃,这足以影响精子的产生。如果将笔记本电脑等电子设备长时间放在大腿上,温度上升速度会更快,可能会在一个小时内升高2℃。因此为了维护生育健康,减少久坐时间特别是避免将电子设备放在大腿上,可能是一个有益的做法。




恭喜我们的准父母在八月末喜迎一枚可爱的处女座宝宝!看到准妈妈抱着宝宝的温馨画面真是让人感动~我们由衷感谢同在纽约的爱妈,她的辛苦付出使这一切梦想成为可能。月底的另一个好消息,从2023年8月30日起,回国的准父母无需再进行入境前的新冠病毒核酸或杭原检测,以后带着宝宝回国就变得更加便捷和顺畅啦!







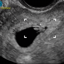
如同种子在孕育中绽放新生,胚胎也在体内顺利发育,我们的爱妈M迎来了首次B超检查,第一次看见了怀孕六周的宝宝。尽管此刻的宝宝只有小小的扁豆粒般大小,轮廓隐约可见,然而却已经能够窥见小手挥舞的动作以及脉搏跳动的美好律动。
恭喜来自亚利桑那州的准父母,作为已经有了两位女儿的幸福一家,还期盼着再拥有两个可爱的儿子,拥有一个幸福美满的大家庭。






爱妈C倒计时的最后阶段,孕晚期的爱妈们都辛苦啦❤️每一天都是一次接近成功的机会,每一天都是宝宝与你们更近的时刻。祝愿一切顺利,幸福满满!
盆骨越大越好生吗?
欧美女生的盆骨骨骼更大,在一定程度上可以影响生产的舒适度,大盆骨可能会提供更多的空间,使得宝宝更容易通过生殖道,但并不是唯一影响因素,胎儿的大小等因素也会影响宝宝的分娩速度。
在美国新生儿的体重多少是正常:
正常的新生儿体重在5.5磅(约2.5千克)到8.8磅(约4千克)之间被认为是健康的范围。




来自密苏里州的爱妈M今天如期前往妇产科进行了检查,宝宝已经21周大了。在检查中,可以清晰地看到了一个可爱的小男孩!在美国PGS技术不仅可以检测胚胎的染色体异常,还可以实现性别的选择。
这项技术可以帮助准父母能够更好地规划自己的家庭。和爱妈M匹配的准妈妈非常的高兴,她目标是能够迎来属于自己的两个宝宝,期待着她未来家庭的美好发展!


宝宝的脸




来自印第安纳州的爱妈K,今天特地飞至诊所进行体检。25岁的她,已经是两个可爱宝宝的母亲!爱妈K性格温柔贤惠,平和善良。她是一个热爱学习的人,经常沉浸在书籍的世界里,特别喜欢科幻片,探索未知的宇宙奥秘。她还有一双巧手,喜欢针织,能够用心织出精美的手工作品,为宝宝亲手制作可爱的小玩具。她通过我们的在线招募信息了解到爱妈的机会,决心成为一名爱妈,她的未婚夫给予了她充分的支持!
与爱妈匹配的准爸爸是LGBT群体的一员,同时还是一名英语老师。这两位志趣相投的人交流愉快。他们充满期待,希望能够迎来一路绿灯,早日迎来移植的日子!
ACRC支持多元化家庭,下个月将参加纽约的BMH会展活动,为更多同性家庭提供专属的生育计划,为他们的梦想助力!


爱妈和家人合影


下期再见
近年来不仅面对新冠疫情和辐射问题,还有各种自然灾害和环境问题,都让准父母感到不安。害怕这些挑战都可能对人类的生育造成影响。如果真的过于担忧,可能会考虑采取提前做冻卵冻精的措施,以维持卵子精子最佳的健康状态。
希望各位准父母能够保持健康和积极的心态,顺利度过生育过程,拥有健康可爱的宝宝。无论面对何种挑战,您的决心和爱将是最强大的支持。
温馨提示:9/4日是美国的劳工节,所有办公室关闭一天,如果您需要任何帮助或有疑问,我们的客户支持团队将在劳工节之后为您提供卓越的服务。祝您度过一个美好的假期!
版权归原作者所有。如有侵权请联系我们,我们将及时处理。
打開微信,使用 “掃描QR Code” 即可將網頁分享到我的朋友圈。