随着俄亥俄州第一个报告不明儿童肺炎病例激增,马萨诸塞州也报告了类似病例突然大幅增加,令无数家长相当忧心!
美国疾病控制与预防中心(CDC)的一位消息人士则表示,在全国范围内,“没有什么异常”。国会紧急向CDC发出一封措辞严厉的信,要求CDC报告所知道的一切情况,避免重蹈2020年新冠疫情的覆辙。

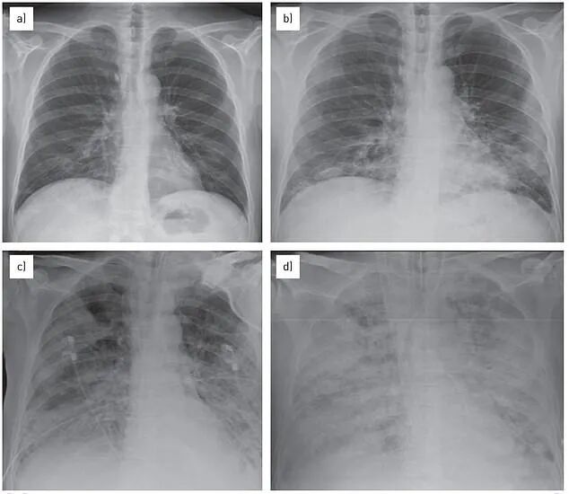
已符合疫情爆发的定义
在俄亥俄州,这种被称为“白肺综合征”的儿童病例从8月份开始就有了。截至目前,距离辛辛那提仅 30 英里的沃伦县(Warren County)已有 142 例病例,该县卫生部门表示,这个数字不仅高于平均水平,而且符合俄亥俄州卫生厅对于疫情爆发的定义。
俄亥俄州卫生厅也表示,以往这个时候呼吸道疾病爆发的数量,没有今年这么夸张。

俄亥俄州正在对这一波肺炎进行持续调查,截至目前科学家并不认为是一种新的呼吸道疾病,而是几种常见的感染同时发生导致的结果。
在沃伦县卫生局的一份声明中,官员们表示:“我们认为这不是一种新型呼吸道疾病,而是通常一次性出现的肺炎病例数量大幅增加。”
医生表示,患者大多出现发烧、咳嗽和疲劳等症状。患者的平均年龄为8岁,有些患者只有三岁,这让家长无比担心。
目前尚不清楚该疾病是否导致任何死亡。
80%是RSV引起的
在马萨诸塞州西部,医生也发现大量非典型肺炎病例,这通常是一种被称为支原体肺炎的常见细菌。
医生表示,主要问题是呼吸道合胞病毒(RSV),这是一种呼吸道病毒,每年夺去超过10000名美国人的生命,其中大部分是幼儿和老人。

儿科医生约翰·凯利(John Kelley)说:“这是 RSV 的季节,我们看到了很多这种病毒,很多孩子患有上病毒性呼吸道感染、咳嗽、发烧、流鼻涕,有些孩子患有RSV感染,RSV会导致下呼吸道病毒感染,因此它们会传播到肺部。”
凯利说,80%患有非典型肺炎的孩子是感染RSV引起的,其他20%是细菌引起的,可以用抗生素治疗。
多重感染导致白肺
不过,美国疾病控制预防中心(CDC)表示,从全美范围内来看,因肺炎死亡的人数并没有异常激增,儿童和青少年死于肺炎和流感的病例,与往年相比处于平均水平。

不过,国会对此非常不满,周三下午,众议院能源和商业委员会一给CDC主任曼迪·科恩 (Mandy Cohen)发了一封措辞严厉的信,要求CDC报告所知道的一切,不得隐瞒。

科恩周四上午在国会作证时表示,截至目前并不认为是一种新的病原体,相信现在出现的“白肺病例”是由于新冠病毒、流感、呼吸道合胞病毒、支原体等多重感染导致的症状。
那么要如何来防范呢?沃伦县在声明中说:“随着假期的临近,我们中的许多人将与家人和朋友聚会,请记住采取必要的预防措施来保护您的健康。“勤洗手,咳嗽时捂住口鼻,生病时待在家里,并及时接种疫苗。”
来源:大洛杉矶LA
图片翻摄自网路,版权归原作者所有。如有侵权请联系我们,我们将及时处理。